Smile Gallery

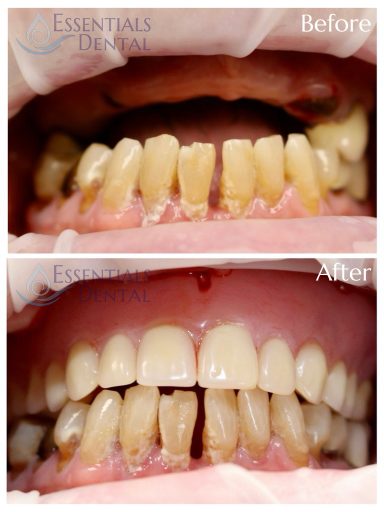
Janice's Case

Before and after dental Implants

Janice wasn’t happy with how her teeth looked, but composite bonding gave her the smile she was looking for. It improved her smile and gave her the boost of confidence she deserved. Congrats on the amazing transformation, Janice!

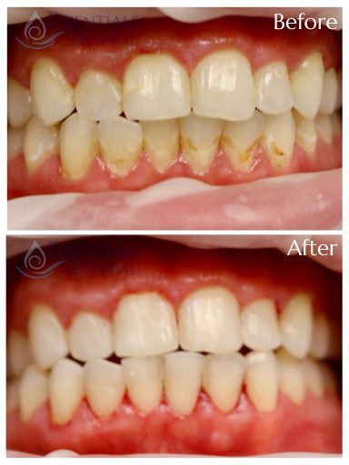
Bert's Case

Before and after dental Implants

Abigail's Case

Before and after dental Implants

Alexa's Case

Before and after dental Implants

Jordyn's Case

Before and after dental Implants

Janice's Case

Before and after dental Implants

Janice wasn’t happy with how her teeth looked, but composite bonding gave her the smile she was looking for. It improved her smile and gave her the boost of confidence she deserved. Congrats on the amazing transformation, Janice!

Jordyn's Case

Before and after dental Implants

Alexa's Case

Before and after dental Implants

Bert's Case

Before and after dental Implants

Abigail's Case

Before and after dental Implants